お問い合わせ

言語

Japanese

English

Português

HEARTROID
  • 製品情報
    • Coronary PCIモデル CTOモデル BIFモデル CABGモデル CAGモデル
    • Structure TAVIモデル TAVI Videoscopeモデル TAVI Horizontalモデル TAVI CEPモデル MVモデル TPVIモデル TSP/ASD/PFO closureモデル LAA Closureモデル CSRモデル
    • EP EPモデル リードレス
      ペースメーカーモデル
      CRTモデル
    • Peripheral AAAモデル EVTモデル RDNモデル Heart failure 心筋生検モデル Percutaneous VAD モデル
    • NV HEARTROID NV
    • HEARTROIDについて 開発コンセプト 心臓モデルの技術 拍動ポンプの技術
  • オプション製品
    • トレーニング用ステント HEARTROID専用造影剤 カメラセット 操作補助台 専用キャリーケース HEARTROID SUPPORT PROGRAM -保守契約のご案内- HEARTROID for Research and Development
  • 導入事例・展示会
    • 導入事例 学会・展示会
  • PDF資料
  • 企業情報
  • お問い合わせお問い合わせ
Coronary Model
Coronary Model

スタンダードモデル

Coronary

カテ室でのX線透視を用いた実践的なCAG(冠動脈造影)のシミュレーションや、基本的なPCI(経皮的冠動脈形成術)で要求されるワイヤ操作、バルーンカテーテルやステントなど、治療用デバイス操作のトレーニングが可能です。

冠動脈造影、基本的な冠動脈形成術で必要な操作のトレーニングが可能です。ベンチでカテーテルを触りながら基本的なカテーテルの動きをつかみ、さらにカテ室ではX線透視下で本格的なカテーテル操作を練習することができます。カテーテルの挿入部位は、大腿動脈アプローチに加え最近増加している橈骨動脈アプローチにも対応しています。

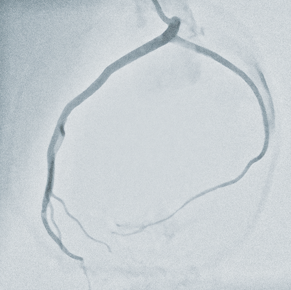
RCA造影・LCA造影

  • RCA
  • RCA
  • LCA
  • LCA
PCI

Optional Equipment

トレーニング⽤ステント(PCI)

HEARTROIDは、専⽤のカメラやステントと併⽤することでさらに機能を拡張することが可能です。また補助具や専⽤キャリーケースなど便利なアイテムもご⽤意しています。

詳しくはこちら

- Basic Set -

基本セットの内容

冠動脈モデル

冠動脈モデル

透明素材を用いており、X線透視下の画像と心腔内でのカテーテルの動きを比較しながらシミュレーションを行うことができます。

専用タンク

専用タンク

X線透視下、非透視下での視認性を考慮した透明のタンクです。6Lの水を注入し簡便に準備が可能です。忙しい臨床業務の合間の時間を効果的に使って、手技の向上を図ることが可能です。

拍動ポンプ

拍動ポンプ

心拍数を30~120bpmの間で調整でき心臓モデル(冠動脈を含む)の拍動と循環を実現します。臨床の造影に近い画像を再現できます。

シース付チューブ

シース付チューブ

シースが付いた専用チューブです。
本 数 : 2本(6・8Fr)

専用コーティング剤

専用コーティング剤

カテーテルが滑りやすいようにモデルの内部に使用します。
容量 : 20g(約20回分)

専用ホース

専用ホース

ワンタッチ継手が付いた専用ホースです。


- Basic Set -

基本セットの内容

冠動脈モデル

冠動脈モデル

透明素材を用いており、X線透視下の画像と心腔内でのカテーテルの動きを比較しながらシミュレーションを行うことができます。

専⽤タンク

専⽤タンク

X線透視下、非透視下での視認性を考慮した透明のタンクです。6Lの水を注入し簡便に準備が可能です。忙しい臨床業務の合間の時間を効果的に使って、手技の向上を図ることが可能です。

拍動ポンプ

拍動ポンプ

心拍数を30~120bpmの間で調整でき心臓モデル(冠動脈を含む)の拍動と循環を実現します。臨床の造影に近い画像を再現できます。

シース付チューブ

シース付チューブ

シースが付いた専用チューブです。
本 数 : 2本(6・8Fr)

専用コーティング剤

専用コーティング剤

カテーテルが滑りやすいようにモデルの内部に使用します。
容量 : 20g(約20回分)

専⽤ホース

専⽤ホース

ワンタッチ継手が付いた専用ホースです。

HEARTROID Preparation Tutorial

※製品の仕様は予告なく変更になる場合がございます。
※製品のカスタマイズにも対応しております。詳しくは、株式会社JMCまでお問い合わせください。

お問い合わせ

ABOUT HEARTROID

ハートロイドについて

  • 開発コンセプト

    大阪大学の開発プロジェクトについて

  • 拍動ポンプの技術

    フヨー株式会社について

  • 大阪大学
  • 株式会社JMC
  • フヨー株式会社

本製品は大阪大学が㈱JMC、フヨー㈱とともに進めるHEARTROID PROJECTにより生まれたものです。
本研究開発は国立研究開発法人日本医療研究開発機構(AMED)の「医療機器開発推進研究事業」の支援により実施されました。

HEARTROID
  • 製品情報
    • PCIモデル
    • CTOモデル
    • BIFモデル
    • CABGモデル
    • CAGモデル
    • TAVIモデル
    • TAVI Videoscopeモデル
    • TAVI Horizontalモデル
    • TAVI CEPモデル
    • MVモデル
    • TPVIモデル
    • TSP/ASD/PFO closureモデル
    • LAA Closureモデル
    • CSRモデル
    • EPモデル
    • リードレス
      ペースメーカーモデル
    • CRTモデル
    • AAAモデル
    • EVTモデル
    • RDNモデル
    • 心筋生検モデル
    • Percutaneous VAD モデル
    • HEARTROID NV
  • オプション製品
    • トレーニング用ステント
    • カメラセット
    • 操作補助台
    • 専用キャリーケース
    • HEARTROID for R&D
    • 開発コンセプト
    • 心臓モデルの技術
    • 拍動ポンプの技術
    • 導入事例・展示会
    • PDF資料
    • 企業情報
  • メールでのお問い合わせ
  • お電話でのお問い合わせ
    045-477-5757
  • トップへ戻る
  • サイトマップ
    • 製品情報
      • PCIモデル
      • CTOモデル
      • BIFモデル
      • CABGモデル
      • CAGモデル
      • TAVIモデル
      • TAVI Videoscopeモデル
      • TAVI Horizontalモデル
      • TAVI CEPモデル
      • MVモデル
      • TPVIモデル
      • TSP/ASD/PFO closureモデル
      • LAA Closureモデル
      • CSRモデル
      • EPモデル
      • リードレス
        ペースメーカーモデル
      • CRTモデル
      • AAAモデル
      • EVTモデル
      • RDNモデル
      • 心筋生検モデル
      • Percutaneous VAD モデル
      • HEARTROID NV
    • オプション製品
      • トレーニング用ステント
      • カメラセット
      • 操作補助台
      • 専用キャリーケース
      • HEARTROID for R&D
    • 導入事例・展示会
      • 導入事例
      • 学会・展示会
    • PDF資料
    • 企業情報
      • 株式会社JMCについて
      • 販売代理店について
    • お問い合わせお問い合わせ
    • English
HEARTROID
HEARTROID
© JMC Corporation All Rights Reserved.